Latest Updates
-
Rich Home Style Masala Chicken Gravy Recipe -
Viral IIT Baba Abhay Singh Secretly Marries Engineer Pratika, Netizens Question His Spiritual Path -
Karishma Tanna and Husband Varun Bangera Share Pregnancy News With Fun Photoshoot, Call Baby ‘Little Miracle’ -
Why Women Leaders Are Crucial for Driving Change in India’s Healthcare Sector -
Who Is Bhoomika Yadav? Meet Raipur’s 19-Year-Old, Youngest Indian Model To Walk For Chanel -
Super Crispy Street Style Aloo Tikki Recipe: Your New Favorite Snack! -
Baisakhi 2026: Date, History, Rituals and Cultural Significance Explained -
At 83, Amitabh Bachchan Finds Not Working Each Day Disturbing: Why Breaking Routine Triggers Anxiety -
Alia Bhatt Serves Sharp, Subtle Drama in Gaurav Gupta’s Black Three-Piece Tuxedo -
Boss Lady By Zlaata: Workwear That Made Confidence Visible
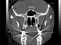
Cell Phones Cause Brain Tumors?

With the cell phone bans taking a speedy toll at every aspect of everyday lives, one wonders if at all are the cell phones all that bad?
An editorial by a neurosurgeon at Lake Forest Hospital has delved into the biggest scientific concerns of recent times- Do cell phones increase brain cancer risk? Pawl has called for major research initiatives to assess the possibility that using cellular phones may lead to an increased risk of brain tumours.
He has called for collaborative research initiatives to determine whether the link between cell phones and brain cancer is real. Since a long time, scientists are worried that ELF exposure may increase the risk of brain cancers. But, till date, research has shown no clear link between cell phone use and brain tumors.
Some experts have suggested that apparent increases in the number of brain cancers might reflect the use of sophisticated imaging techniques like computed tomography and magnetic resonance imaging."However, the fact that the incidence of gliomas, especially the more malignant varieties, is increasing warrants action on this issue," wrote Pawl.
According to Pawl, the main problem is that no other research groups have performed actual studies showing a clear relationship between brain tumours and ELF.
He has called on scientific societies to play a leading role in designing and conducting studies that will definitively determine the risks of brain cancer associated with ELF exposure, particularly from cell phones.
"It seems that a cooperative effort by both the scientific community and state governing bodies will be needed. Some spearhead is now necessary in view of the magnitude and seriousness of the situation," wrote Pawl.
Pawl''s editorial is published in the November issue of the journal Surgical Neurology. The editorial states that recent studies have raised concerns that long-term exposure to electromagnetic fields (ELF) from cell-phone handsets can increase the risk of brain cancers and other nervous system tumours.
Other studies by the same group suggested that the use of wireless handsets in cordless home phones posed the same risk. In fact, after reviewing the evidence, one author suggested that long-term cell phone use is "more dangerous to health than smoking cigarettes." Other recent commentators have raised similar concerns.
But, if the findings were true, there would have been instances of increased rates of brain cancers over the last two decades. Some studies have reported that this is the case, particularly for the most malignant brain cancers. However, other studies have found a stable tumour rate.
A Swedish research earlier this year, indicated an increased risk of brain cancers (gliomas) as well as acoustic nerve tumors (neuromas) in people using cell phones for ten years or longer. It said that tumours were more likely to develop on the same side as the cell phone was used.
With the ever-increasing use of cell phones, including widespread use by children and teenagers, the findings have become a great deal of concern. The damaging effects of ELF, if any, might be even greater in the developing brain.
With, at least the above research will give us a more logical reasons to control the usage of cellphones and fight its addiction.
Disclaimer: The information provided in this article is for general informational and educational purposes only and is not intended as a substitute for professional medical advice, diagnosis, or treatment. Always seek the advice of your physician or a qualified healthcare provider with any questions you may have regarding a medical condition.



Click it and Unblock the Notifications











