Latest Updates
-
Dal Palak Recipe: Your Healthy Green Dal Twist -
Tremors in Kashmir After Afghanistan Quake: What Residents Experienced and Precautions to Take -
Who Is Shaheen Bhatt’s Fiancé Ishaan Mehra? Inside the Engagement That Left Alia Bhatt ‘Weeping’ -
World Heritage Day 2026: Significance, Theme And The Cost Of Failing To Protect Our Past -
South Style Tangy Side: The Ultimate Tomato Chutney Recipe -
Horoscope for Today April 18, 2026 - Steady Progress, Calm Momentum -
Paneer Masala Recipe: Indulge in Restaurant Style Thick Gravy -
Haemophilia Explained: Treatments, Challenges, and What Lies Ahead -
Who Is Nida Khan? Inside the TCS Nashik Controversy and What the Law Says About Pregnancy and Arrest -
Indo Chinese Street Style Veg Manchurian Recipe: A Flavorful Snack
11 Unusual Non-edible Things Consumed By Humans
There are many things in this world that can leave us confused. We tend to wonder on how did this even happen. If you're wondering what we're even discussing about, read on to find out about the most unusual and craziest things that have been found in a human body.
These images can leave you baffled and shocked, as to how such things could even enter a human body. Some of these cases are accidental ones; however, some of them are due to crazy fetish that people have.
You are about to enter the zone of bizarre things like having an unusual appetite that includes consuming batteries to eating glass pieces, almost every possible thing that a human brain can hardly imagine.
So, find out more about these interesting and unique things that people have accidentally or voluntarily consumed. Do leave a comment in the section below after reading this article.

Magnets
An 8-year-old kid was almost chocked to death, when she had consumed shiny magnets that were scattered on the floor of her house. She had to be rushed before the magnets got clumped inside her.
Image Courtesy
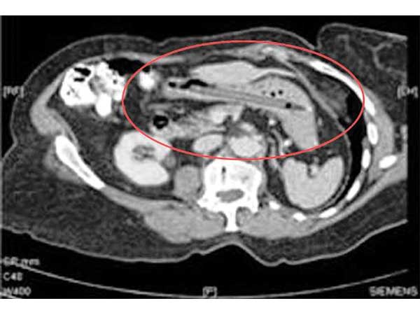
Cutlery
A woman from Netherlands named Margaret Daalman complained about severe stomach ache. When the doctors had a look at the x-ray, it showed that there was an entire set of forks and spoons in her stomach. There were 72 different types of cutleries found in there.
Image Courtesy
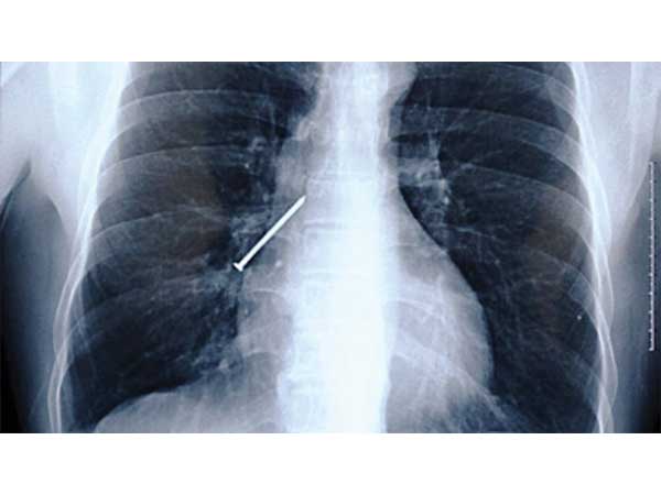
Nail
A carpenter in China accidentally swallowed a nail while he suddenly coughed. The procedure to remove the nail was quite a complicated one, as the nail had got stuck in the lung. Finally, after it was removed, the man had a speedy recovery.
Image Courtesy
Hand Grenade
Wonder what did this terrorist even think of while placing the hand grenade in his abdomen. Apparently, he was not a good thinker, as he had no means of access to defuse the bomb!
Image Courtesy
Live Eel
Lolz! This is the funniest of all. A man from China admitted himself to a hospital when he accidentally got a live eel stuck inside his anus. He said that he was inspired by the porno world so much that he wanted to try something unique. Doctors claim that the eel was alive when the man was being operated, but it died shortly after it was removed.
Image Courtesy
Light Bulb
Okay, it is true that a light bulb was found in the large intestine of a Pakistani prisoner. Now, you can let your imagination flow as to how did it even land there in the first place!
Image Courtesy
Spoon
A 33-year-old woman had accidentally swallowed a spoon that she had used as a tool to remove the fish bone that was stuck in her larynx. She had to be operated to remove it.
Image Courtesy
Drugs
A Nigerian man was caught at an airport in Malaysia while he was trying to export 52 capsules of methamphetamine. Wonder how would he get all these capsules out of his body! Phew.

Batteries
A 13-month-old baby died to the presence of batteries in the stomach. This is a common scene among kids where they consume batteries. So, one needs to be more careful and monitor children thoroughly.
Image Courtesy
Pen
A 76-year-old woman who complained of severe stomach ache was admitted into a hospital. Her x-ray report revealed that she had a pen inside her body. It was there safe for 25 years. Once they removed it, the doctors were amused to see the pen still in a writing condition.
Image Courtesy

Key
An 18-year-old computer designer had swallowed his house key when he was totally sloshed. He did this to prevent his friend from dropping him to his house. The only thing the doctor advised him was to wait and let nature take its course. After 31 hours, the key emerged from his crap!
Image Courtesy


Click it and Unblock the Notifications