Latest Updates
-
Hair Hacks 101: How to Fix Oily Hair Without Washing It -
Crispy Spicy Restaurant Style Chicken 65 Recipe -
India’s ‘Haunted’ Bhangarh Fort Has a Night Entry Ban, But Is It Really About Ghosts? -
Back to Work, But Not Fully There: The Reality of Post-Viral Brain Fog -
Throwback Thursday: Jaya Bachchan Turns 78 – 5 Iconic Roles That Captured A Woman’s Strength And Spirit -
Summer Special Energy Boost: The Ultimate Mango Milkshake Recipe -
Horoscope for Today April 09, 2026 - Steady Progress from Mindful Choices -
Thick Masala Restaurant Style Mutton Gravy Recipe -
Thinking of Getting Inked? Here’s What The Expert Wants You To Know -
Hakka Noodles Recipe: Master the Street Style Wok Toss Trick
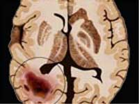
Scorpion Venom May Help Fight Brain Cancer

Researchers have found a brain-cancer therapy which uses a radioactive version of a protein found in scorpion venom. Traditional treatments like radiation and chemotherapy kill healthy cells in the process of controlling the cancer growth.
The sting of the scorpion Leiurus quinquestriatus unleashes a cocktail of neurotoxins containing a peptide that is non-toxic to humans but binds to tumour cells. In tests, the peptide has invaded tumours in breast, skin, brain and lung tissue while leaving healthy cells untouched.
"It's as if the tumours collect it," New Scientist quoted Michael Egan of the company TransMolecular in Cambridge, Massachusetts, as saying.
To determine if the peptide could deliver lethal doses of radioactivity to cancer cells, researchers have now attached radioactive iodine isotopes to it.
In an experiment, the researchers injected this agent directly into the tumours of 59 people suffering from inoperable brain cancer. All the patients have now died, but those receiving a higher dose lived for three months longer, on average.
Researchers at the University of Chicago in Illinois have begun injecting TM601 into the bloodstream of people with different types of malignant brain cancer. This latest trial will allow the company to test whether it can seek out and kill secondary tumours throughout the body, as well as known primary ones.
Disclaimer: The information provided in this article is for general informational and educational purposes only and is not intended as a substitute for professional medical advice, diagnosis, or treatment. Always seek the advice of your physician or a qualified healthcare provider with any questions you may have regarding a medical condition.



Click it and Unblock the Notifications











